下颌角肥大,属于医学领域,是一种疾病现象,其致病原因分为工作性肥大和遗传因素两种,可通过服食瘦脸果、截骨术、注射瘦脸技术或抽吸术来治疗。 ...
267人阅读
8人评论
2016-04-12 14:30
211人阅读
8人评论
2016-04-12 14:32
抽脂减肥,就是利用一个负压真空吸引器(0.5-1.0大气压)与一种金属的末端带有吸孔的吸引管相连,通过皮肤的小切口进入皮下,将局部堆积的脂肪组织吸出,以改善肥胖体型的一种整形方法。 ...
238人阅读
8人评论
2016-04-12 14:33
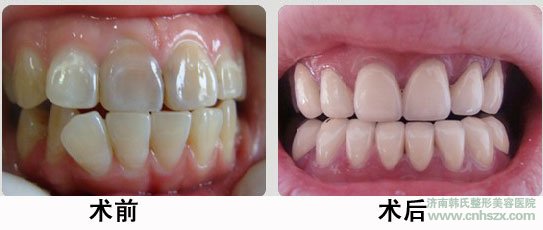
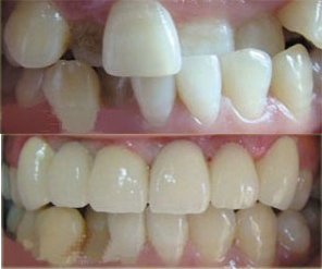
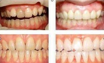
牙龈萎缩其实是一种牙周病,这是指发生在牙周组织的疾病,牙龈萎缩是常见的口腔疾病,牙龈萎缩的早期症状不易引起重视,造成长期慢性感染,导致炎症反复发作甚至严重,对牙齿健康有严重的影响。 ...
155人阅读
8人评论
2016-04-12 14:34
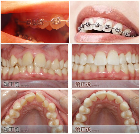
采用微创精准打开牙槽骨的方式,无需切断黏膜和血管,维持上颌前部充分的血液供应,从根本上预防骨坏死等副作用,加快恢复时间,术后牙槽骨生长恢复快,可至固定状态。 ...
268人阅读
8人评论
2016-04-12 14:37