唐山花都医疗美容诊所
http://m.zhurongwang.com/hospital/856
服务咨询热线
胶原蛋白除皱保持时间是多久?
胶原蛋白注射除皱是目前新型注射美容除皱技术的一种常见方法,它材料的使用注射胶原蛋白填充修复皮肤 ...
409人阅读 8人评论 2016-04-25 15:00
老年人镶牙应该怎么选择?
口腔修复主要是针对牙齿缺损、牙齿缺失后的治疗工作,如嵌体、全冠、义齿等,也包括利用人工修复体针对牙周病、颞下颌关节病和颌面部组织缺损的治疗,如咬合板、牙周夹板、赝复体、义眼、义耳、义鼻等。是口腔医学中的一个重要分支,种植...
343人阅读 8人评论 2016-04-25 15:01
胶原蛋白可以支撑皮肤凹陷吗?
胶原蛋白(Collagen)是人体的一种非常重要的蛋白质,主要存在于结缔组织中。它具有很强的伸张能力,是韧带和肌键的主要成份,胶原蛋白还是细胞外基质的主要组成成分。它使皮肤保持弹性,而胶原蛋白的老化,则使皮肤出现皱纹。...
345人阅读 8人评论 2016-04-25 15:03
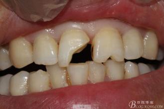
牙齿断裂有办法修复吗?
牙齿中的有机质含量随着年龄的增长而逐渐减少,过了35岁以后。而牙齿中无机质含量却随着年龄而逐渐增加,这使牙齿变脆。牙釉质本身又是硬而脆的组织,如果咬过硬的物品或用力撕咬东西,牙齿就会出现裂纹,导致断裂。 ...
344人阅读 8人评论 2016-04-25 15:03
彩光嫩肤管用吗?
彩光嫩肤,是一种先进的高科技美容项目,采用560~1200nm的强脉冲光,直接照射于皮肤表面,它可以穿透至皮肤深层,选择性作用于皮下色素或血管,分解色斑,闭合异常的红血丝,解除您肌肤上的各种瑕疵,同时光子还能刺激皮下胶...
245人阅读 8人评论 2016-04-25 15:22
彩光嫩肤术具有什么优势?
彩光嫩肤能从基本上去除形成各种皮肤瑕疵的病源,治疗各种皮肤病症。普通全疗程大约需求5至6次,每一次治疗后皮肤病变都会得到显著改善。把治疗分红数次的主要目的是为在使皮肤得到逐渐改善的同时,极大降低副反响的风险。最重要的是...
367人阅读 8人评论 2016-04-25 15:23
彩光嫩肤治疗红血丝需要几次?
彩光嫩肤美容治疗系统,一台设备同时具备6个治疗手柄,集嫩肤、祛斑、祛痣、脱毛、祛红血丝、治疗毛孔粗大等多种功用于一身,可依据不同的病人、不同的皮肤情况,不同的治疗目的,选择不同的治疗波长和治疗能量,以到达最理想的治疗效...
302人阅读 8人评论 2016-04-25 15:24
彩光嫩肤能够收缩毛孔?
彩光嫩肤和任何治疗都一样,治疗自身是具有两面性的,光子一方面是治疗色素性皮肤疾病十分好的治疗办法,但也有惹起皮肤色素性改动的潜在风险。彩光嫩肤是一项新近开发的强脉冲光停止非损伤性皮肤美容的新技术,多个波长彩光和长波长激...
365人阅读 8人评论 2016-04-25 15:24
第二次做彩光嫩肤应该间隔多久?
245人阅读 8人评论 2016-04-25 15:26
耳垂畸形的几种表现?
随着医疗整形美容的发展,现在手术修复方法较多,一般应用乳突部皮瓣修复,效果良好。耳垂再造修复术适应症是改善耳垂缺损,其主要是位于耳廓最下端的耳垂遭受外伤,或烧(冻)伤或有肿瘤切除情况遗留下来的一种耳部后天性或先天性畸形...
333人阅读 8人评论 2016-04-25 15:27
扫一扫,加我微信
13260092855
工作时间:7*24小时不休
河南驻容网络科技有限公司
驻容网络版权所有,保留一切权利 © 2013-2026
京ICP备15002463号-1